ECL DualVue™ Western blotting markers
ECL DualVue™ Western Blotting Markers contain both colored proteins and tagged proteins that introduce convenience and reliability and facilitate accurate size determination of proteins on Western blots.
ECL DualVue™ Western blotting markers
ECL DualVue™ Western Blotting Markers contain both colored proteins and tagged proteins that introduce convenience and reliability and facilitate accurate size determination of proteins on Western blots.
Overview
ECL DualVue™ Western Blotting Markers contain both colored proteins and tagged proteins that introduce convenience and reliability and facilitate accurate size determination of proteins on Western blots.
- Detect proteins on gel and membrane as well as on film.
- Prestained markers indicate efficiency of protein transfer to membrane and blot orientation.
- Tagged recombinant protein markers allow accurate calculation of molecular weight of target protein(s).
- Product is compatible with any HRP substrate as well as both PVDF and nitrocellulose membrane types.
Two key functions
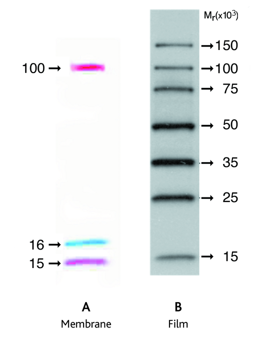
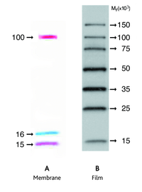
Amersham™ ECL DualVue™ Western blotting markers perform two key functions. First, the prestained marker proteins confirm protein transfer in addition to clearly defining blot orientation. Second, the recombinant tagged proteins are detected on film or by CCD imaging in conjunction with the target protein(s) of interest, enabling highly accurate molecular mass determination of the target protein(s).
Elimination of cross contamination
The tagged markers are detected easily and specifically by means of a specific conjugate that eliminates any cross contamination between target protein(s) and markers.
A mixture of three prestained colored markers
Amersham™ ECL DualVue™ Western blotting markers contain a mixture of three prestained colored markers of defined molecular weight (from 15 000 to 100 000) and seven tagged recombinant proteins (molecular weights from 15 000 to 150 000). Each pack contains ECL DualVue™ markers (125 µL) and S-protein-HRP conjugate (50 µL), sufficient for 25 standard gel loadings.